| Nephrogenic adenoma | |
|---|---|
| Other names | Mesonephric adenoma, nephrogenic metaplasia |
![]() | |
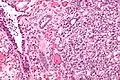
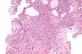
| Micrograph of a nephrogenic adenoma. H&E stain. | |
| Specialty | Urology, oncology |
Nephrogenic adenoma is a benign growth typically found in the urinary bladder.
It is thought to result from displacement and implantation of renal tubular cells, as this entity in kidney transplant recipients has been shown to be kidney donor derived.[1]
This entity should not be confused with the similar-sounding metanephric adenoma.
Diagnosis
Nephrogenic adenomas are diagnosed under the microscope by pathologists. Microscopically the tumor shows closely packed small tubular structures in edematous stroma. The tubules show considerable variation in size and shape resembling convoluted tubules of the kidney. The single layer of cells lining the tubules are cuboidal with a scant to moderate amount of cytoplasm. In some areas they may have a hobnail appearance. [2]
Low mag
High mag
Treatment
Even though there is no evidence of malignant potential, transurethral resection is recommended together with long-term antibiotic prophylaxis for at least one year after resection. Prolonged antibiotic therapy is suggested due to the frequent finding of UTI as an associated or causative factor.[3]
See also
References
- ↑ Mazal, PR.; Schaufler, R.; Altenhuber-Müller, R.; Haitel, A.; Watschinger, B.; Kratzik, C.; Krupitza, G.; Regele, H.; et al. (Aug 2002). "Derivation of nephrogenic adenomas from renal tubular cells in kidney-transplant recipients". N Engl J Med. 347 (9): 653–9. doi:10.1056/NEJMoa013413. PMID 12200552.
- ↑ "Nephrogenic metaplasia". Pathology Outlines. Retrieved 22 October 2016.
- ↑ Peeker R Aldenborg F Fall M: Nephrogenic adenoma: A study with special reference to clinical presentation. BR J UROL 1997;80(4):539–542.
