
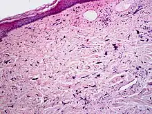
Micrograph of pleomorphic fibroma. Cell-depleted, fibrous connective tissue with atypical fibroblasts
Pleomorphic fibromas of the skin usually present in adults, with a slight preponderance in women.[1]
See also
References
This article is issued from Wikipedia. The text is licensed under Creative Commons - Attribution - Sharealike. Additional terms may apply for the media files.